
Tag: delicate surgery
Amrita Hospital, Kochi Treats Rare Fetus-in-Fetu Case
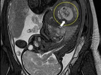
KOCHI:Amrita Hospital, Kochi have successfully performed a rare and delicate surgery to remove a fetus.
KOCHI:Amrita Hospital, Kochi have successfully performed a rare and delicate surgery to remove a fetus.