

KOCHI:
Amrita Hospital, Kochi have successfully performed a rare and delicate surgery to remove a fetus in fetu—an extremely uncommon congenital condition in which a malformed twin becomes enclosed within the body of its normal twin during early embryonic development. Fewer than 1 in 5,00,000 births present this anomaly worldwide, making this case a remarkable medical milestone.
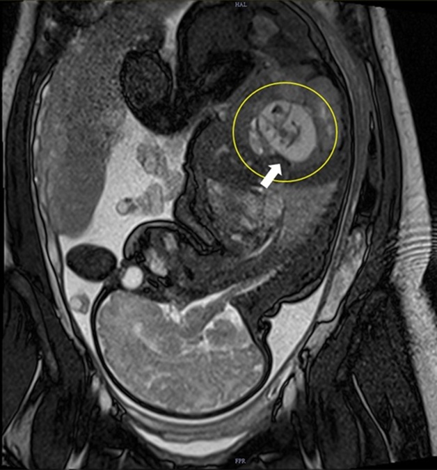
The condition was first diagnosed at the antenatal scanning done by Dr Vivek Krishnan, Additional Professor, Dr. Dhanya Keezhatoor and Dr. Sruthi Soman, Assistant Professors from the department of fetal care. Advanced prenatal imaging revealed an abnormal mass, prompting close monitoring and expert evaluation. Antenatal scans play a crucial role in identifying such complex conditions early, enabling timely intervention after birth.
After delivery, further imaging confirmed the presence of fetus in fetu—a non-viable twin entrapped inside the abdomen of the surviving infant. At just two months old, the baby girl underwent a complex open surgery at Amrita Hospital to remove the malformed fetus, which weighed 48.7 grams.
The rare procedure was led by an expert pediatric surgical team of Dr. Mohan Abraham, Emeritus Professor, Paediatric Surgery; Dr. Aswin Prabhakaran, Associate Professor, Paediatric Surgery; Dr. Rekha Varghese, Anaesthesiologist; Dr. Anju Anand and Steny Shaji, Physician Assistants.
The operation lasted nearly two hours and was completed without complications. The infant recovered well following the surgery and is reported to be in stable condition.
This successful intervention underscores Amrita Hospital, Kochi’s advanced capabilities in fetal medicine, pediatric surgery, and anesthesia reaffirming its role as a leading centre for complex and rare pediatric conditions.
more recommended stories
Amrita Hospital, Kochi to Host Indian Myeloma Congress 2026KOCHI:Amrita Hospital, Kochi will serve as.
Aster Medcity Celebrates International Day of Persons with DisabilityKOCHI:The Physical Medicine and Rehabilitation (PMR).
Makers of Johnson’s Baby Supports Training of Over 2 Lakh Healthcare WorkersMUMBAI:Every mother remembers the magic of.
8-ാമത് ഇന്ത്യൻ സൊസൈറ്റി ഓഫ് കാവസാക്കി ഡിസീസ് നാഷണൽ കോൺഫറൻസ് കൊച്ചിയിൽ സംഘടിപ്പിച്ചുകൊച്ചി : കുട്ടികളിൽ കാണപ്പെടുന്ന പ്രധാന വാസ്കുലൈറ്റിസുകളില്.
Mobility Restored: Doctors At KIMSHEALTH Perform Complex Surgery To Rectify KyphoscoliosisTHIRUVANANTHAPURAM: Doctors at KIMSHEALTH successfully corrected.
സാംസങ് ആര്20 അള്ട്രാസൗണ്ട് ഇമേജിങ് സിസ്റ്റം ഇന്ത്യയില്കൊച്ചി: സാംസങ് പുതിയ സൂപ്പര്–പ്രീമിയം ആര്20 അള്ട്രാസൗണ്ട്.
Samsung Launches R20 Ultrasound System Redefining General Imaging with Next-Gen AIGURUGRAM: Samsung, India’s largest consumer electronics.
ലോക ആന്റിമൈക്രോബിയൽ അവബോധ വാരം സംഘടിപ്പിച്ച് അമൃത ആശുപത്രികൊച്ചി : ആന്റിമൈക്രോബിയൽ റെസിസ്റ്റൻസ് (AMR) എന്ന.
Amrita Hospital Observes World Antimicrobial Awareness Week 2025KOCHI: Amrita Hospital observed World Antimicrobial.
Milma’s Alappuzha Dairy Open to the Public for Two Days to Celebrate National Milk DayALAPPUZHA: Milma’s Central Products Dairy in.